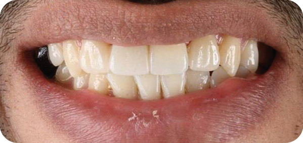
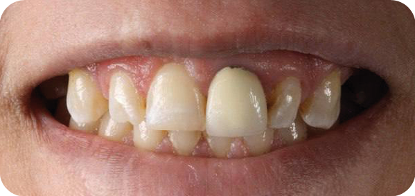
اختر القسم للمزيد من التفاصيل















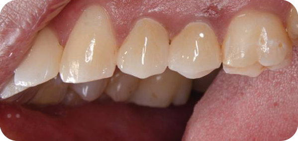
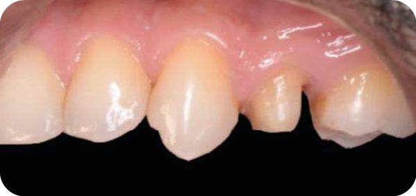
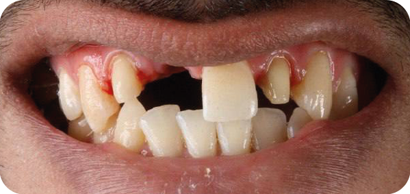
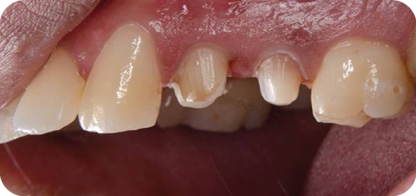
نوفر لك في هذا القسم حزمة متنوعة من معالجات الأسنان التي يقدمها مجموعة من أطباء الاختصاص: التركيبات الثابتة - التركيبات المتحركة - التقويم - زراعة الأسنان - الجراحة - الجذور - اللثة - الأطفال. احصل على معالجتك، التزم بتعليمات الطبيب، ونضمن لك أفضل النتائج!




قم بتحريك الدائرة الزرقاء للأيمن والأيسر لاستعراض حالاتنا قبل العلاج وبعده
























أطباء الأسنان














مجموعة من أفضل الأطباء والتخصصيين يعملون لرعايتك وفق أنظمة مدروسة. أحدث الأجهزة العالمية الأميركية والايطالية: DEKA - Cynosure وغيرها من رواد الصناعة. خبرات واسعة تسخر لخدمتك ضمن قسم الجلدية والليزر













أطباء الجلدية





الخدمات والأجهزة


انقر على الجهاز للمزيد



CANDELA Gentle Pro


Avatar



فعال لازالة الشعر السميك

يناسب البشرة الفاتحة والحنطية

فعالية عالية في ازالة الشعر

تقنية تبريد متطورة لعلاج مريح




CYNOSURE Elite Plus


Avatar



مناسب لكافة أنواع البشرة

وسيلة آمنة لازالة الشعر

تبريد فعال لتخفيف الحرارة على الجلد

فعالية كبيرة في القضاء على الشعر الزائد

لا يسبب ألم شديد أو آثار سلبية




SPLENDOR X


Avatar



الأفضل لازالة الشعر الوبري

خيار فعال للبشرة الداكنة والسمراء

الخيار الوحيد للبشرة المتشمسة

تقنية تبريد مزدوج

الجهاز الأول ببقعة ضوء مربعة




DEKA Again


Avatar



ازالة الشعر السميك والناعم والوبري

مناسب للبشرة الفاتحة والداكنة

عدد جلسات أقل دون الم

تبريد هوائي لحماية البشرة

المركز الأول في مؤتمر التجميل الدولي 2022




DEKA Fractional


Avatar



ازالة آثار حب الشباب

علاج المسام الواسعة

ازالة آثار الجروح والعمليات الجراحية

ازالة الثآليل

نضاره الشفاه وتفتيح لونها

معالجة ترهل وتمدد الجلد




Hydra Touch


Avatar



تنظيف عميق للبشرة

نتائج فعالة وسريعة (من أول جلسة)

معالجات آمنة

مناسب لجميع أنواع البشرة




CLINICAL


Avatar



استشارات جلدية علاجية

استشارات جلدية تجميلية

علاج الأمراض الجلدية

تنظيف البشرة

تقشير البشرة

إزالة الزوائد الجلدية




SCARLET S


Avatar



تقنية حديثة فعالة على عمق الجلد

شد واحياء الجلد المترهل

فعال على الوجه، الرقبة وفروة الرأس

بديل للعلاجات الجراحية




INJECTABLES


Avatar



حقن الفيلر للوجه والجسم

حقن البوتوكس للوجه وفرط التعرق

ابر البلازما للوجه والشعر

خيوط شد الوجه

الديرمابين وابر النضارة
















قسم متكامل مخصص لعلاج مختلف الاصابات الفيزيولوجية والرياضية، بالاضافة إلى تقديم جلسات المساج والاسترخاء، والتي تنفذ جميعها من قبل أخصائيين متمرسين وبناء على فحص وتحليل مسبق للحالة الطبية وما تتطلبه من جلسات علاجية.

















اخصائيو العلاج الطبيعي





خدمات العلاج الطبيعي







جلسة واحدة علاج طبيعي
جلسة الكشف والتقييم
باقة 4 جلسات علاج طبيعي
باقة 6 جلسات علاج طبيعي
باقة 8 جلسات علاج طبيعي
باقة 10 جلسات علاج طبيعي
باقة 12 جلسة علاج طبيعي
جلسة مساج استرخائي
جلسة مساج علاجي
جلسة مساج الاستشفاء الرياضي
جلسة مساج الأكواب
جلسة مساج الأخشاب
زيارة منزلية - جلسة كشف وتقييم
زيارة منزلية - جلسة علاج طبيعي واحدة
زيارة منزلية - باقة 4 جلسات علاج طبيعي
زيارة منزلية - باقة 8 جلسات علاج طبيعي
زيارة منزلية - باقة 12 جلسة علاج طبيعي
زيارة منزلية - باقة 16 جلسة علاج طبيعي
زيارة منزلية - باقة 20 جلسة علاج طبيعي















اختر القسم للمزيد من التفاصيل





















نوفر لك في هذا القسم حزمة متنوعة من معالجات الأسنان التي يقدمها مجموعة من أطباء الاختصاص: التركيبات الثابتة - التركيبات المتحركة - التقويم - زراعة الأسنان - الجراحة - الجذور - اللثة - الأطفال. احصل على معالجتك، التزم بتعليمات الطبيب، ونضمن لك أفضل النتائج!




قم بتحريك الدائرة الزرقاء للأيمن والأيسر لاستعراض حالاتنا قبل العلاج وبعده
























أطباء الأسنان














مجموعة من أفضل الأطباء والتخصصيين يعملون لرعايتك وفق أنظمة مدروسة. أحدث الأجهزة العالمية الأميركية والايطالية: DEKA - Cynosure وغيرها من رواد الصناعة. خبرات واسعة تسخر لخدمتك ضمن قسم الجلدية والليزر













أطباء الجلدية





الخدمات والأجهزة


انقر على الجهاز للمزيد



CANDELA Gentle Pro


Avatar



فعال لازالة الشعر السميك

يناسب البشرة الفاتحة والحنطية

فعالية عالية في ازالة الشعر

تقنية تبريد متطورة لعلاج مريح




CYNOSURE Elite Plus


Avatar



مناسب لكافة أنواع البشرة

وسيلة آمنة لازالة الشعر

تبريد فعال لتخفيف الحرارة على الجلد

فعالية كبيرة في القضاء على الشعر الزائد

لا يسبب ألم شديد أو آثار سلبية




SPLENDOR X


Avatar



الأفضل لازالة الشعر الوبري

خيار فعال للبشرة الداكنة والسمراء

الخيار الوحيد للبشرة المتشمسة

تقنية تبريد مزدوج

الجهاز الأول ببقعة ضوء مربعة




DEKA Again


Avatar



ازالة الشعر السميك والناعم والوبري

مناسب للبشرة الفاتحة والداكنة

عدد جلسات أقل دون الم

تبريد هوائي لحماية البشرة

المركز الأول في مؤتمر التجميل الدولي 2022




DEKA Fractional


Avatar



ازالة آثار حب الشباب

علاج المسام الواسعة

ازالة آثار الجروح والعمليات الجراحية

ازالة الثآليل

نضاره الشفاه وتفتيح لونها

معالجة ترهل وتمدد الجلد




Hydra Touch


Avatar



تنظيف عميق للبشرة

نتائج فعالة وسريعة (من أول جلسة)

معالجات آمنة

مناسب لجميع أنواع البشرة




SCARLET S


Avatar



تقنية حديثة فعالة على عمق الجلد

شد واحياء الجلد المترهل

فعال على الوجه، الرقبة وفروة الرأس

بديل للعلاجات الجراحية




CLINICAL


Avatar



استشارات جلدية علاجية

استشارات جلدية تجميلية

علاج الأمراض الجلدية

تنظيف البشرة

تقشير البشرة

إزالة الزوائد الجلدية




INJECTABLES


Avatar



حقن الفيلر للوجه والجسم

حقن البوتوكس للوجه وفرط التعرق

ابر البلازما للوجه والشعر

خيوط شد الوجه

الديرمابين وابر النضارة
















قسم متكامل مخصص لعلاج مختلف الاصابات الفيزيولوجية والرياضية، بالاضافة إلى تقديم جلسات المساج والاسترخاء، والتي تنفذ جميعها من قبل أخصائيين متمرسين وبناء على فحص وتحليل مسبق للحالة الطبية وما تتطلبه من جلسات علاجية.





























اخصائيو العلاج الطبيعي





خدمات العلاج الطبيعي







جلسة واحدة علاج طبيعي
جلسة الكشف والتقييم
باقة 4 جلسات علاج طبيعي
باقة 6 جلسات علاج طبيعي
باقة 8 جلسات علاج طبيعي
باقة 10 جلسات علاج طبيعي
باقة 12 جلسة علاج طبيعي
جلسة مساج استرخائي
جلسة مساج علاجي
جلسة مساج الاستشفاء الرياضي
جلسة مساج الأكواب
جلسة مساج الأخشاب
زيارة منزلية - جلسة كشف وتقييم
زيارة منزلية - جلسة علاج طبيعي واحدة
زيارة منزلية - باقة 4 جلسات علاج طبيعي
زيارة منزلية - باقة 8 جلسات علاج طبيعي
زيارة منزلية - باقة 12 جلسة علاج طبيعي
زيارة منزلية - باقة 16 جلسة علاج طبيعي
زيارة منزلية - باقة 20 جلسة علاج طبيعي















شارع الملك فيصل، حي الزمرد، القطيف
920012318
0568021818